
婦人咳嗽檢查出菜瓜布肺 元凶竟是「替炸雞塊裹麵粉」
工作長時間吸入細小麵粉,肺部也可能會出問題歐
長期替炸雞裹上麵粉,居然會罹患死亡風險比癌症還高的菜瓜布肺!67歲寧姓婦人就因長期在工廠替炸雞塊裹上麵粉,引發俗稱菜瓜布肺的過敏性肺泡炎,所幸及時發現與找出病因,婦人得以避免肺纖維化,同時也在醫師教導下,於工作中佩戴口罩,避免再次吸入麵粉。
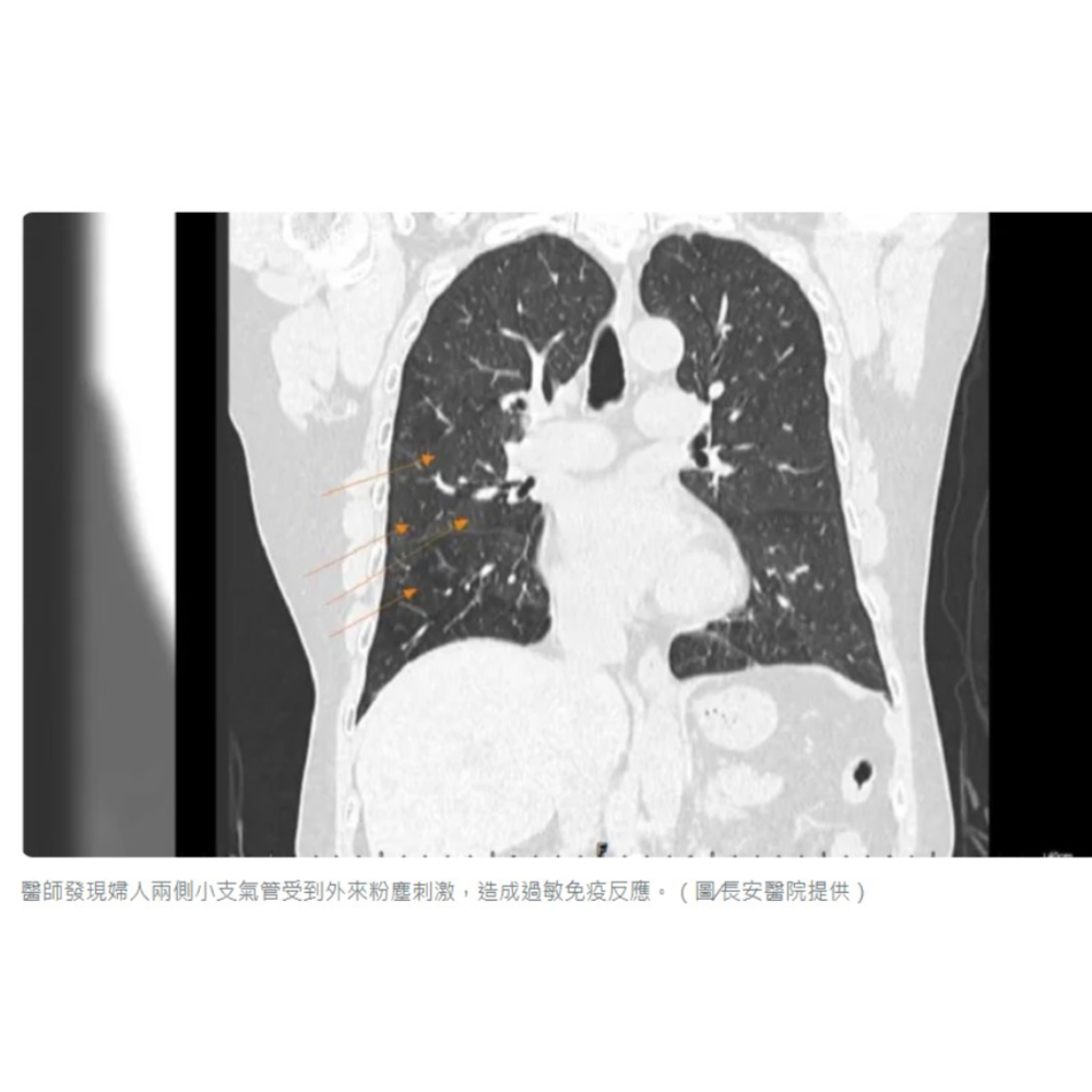
寧姓婦人因長期氣喘合併慢性咳嗽、胸悶多年,醫師檢查發現患者胸部X光只看到些微浸潤與腫脹,但經過電腦斷層檢查,能清楚看到兩側肺野(肺在胸片上表現為均勻一致且較透明的區域)有典型的拼布狀塊狀變化,長安醫院胸腔內科醫師許人文指出,這些高低密度一塊塊的變化,代表兩側小支氣管受到外來粉塵刺激,造成過敏免疫反應,導致肺部持續發炎。
許人文表示,若肺部發炎嚴重甚至會造成俗稱菜瓜布肺的肺纖維化,死亡風險比癌症還高!進一步問診也發現,婦人的工作是在工廠炸雞塊,並在下鍋前替雞塊裹上厚厚的麵粉,卻因麵粉粉塵不斷被吸進兩側支氣管和肺部,造成過敏性肺泡炎。許人文指出,婦人在了解疾病與工作環境之間的關係後,現在會全程配戴密閉式口罩,妥善保護肺部,如今症狀已持續改善,且不再反覆的氣喘發作。
許人文也提醒,民眾如有超過持續8周以上的乾咳、久喘等症狀,建議前往胸腔內科進行檢查,避免延誤病情。
此外,據世界衛生組織(WHO)2020年公布的全球肺癌發生率地圖,台灣肺癌發生率高居世界第15名、亞洲第2,僅次於北韓。肺癌是台灣癌症第一殺手,每年約奪走近萬條人命,但菜瓜布肺若病情急性惡化,死亡率甚至高達5成,比肺癌還要高。
新聞來源: Yahoo 新聞 https://reurl.cc/qr0dNg